Desesperada com dentes pretos, mulher gasta R$ 30 mil em tratamento para se casar
Jovem britânica teve que mudar de dentista para conseguir a solução do caso
Saúde|Do R7
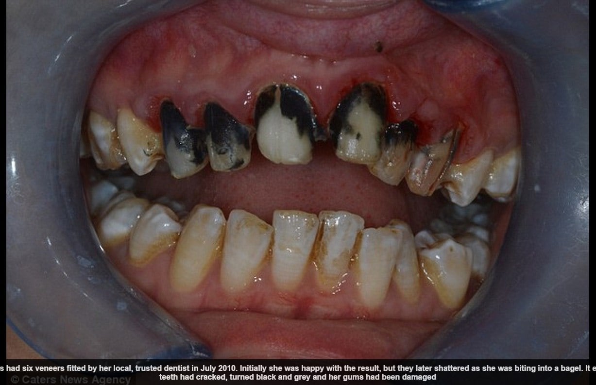
Para exibir um sorriso perfeito no dia de seu casamento, a britânica Faye Walters, 29 anos, gastou mais de R$ 30 mil para consertar o esmalte de seus dentes, que estavam estragados e pretos. O problema se agravou meses antes do casamento. As informaçõe...
Para exibir um sorriso perfeito no dia de seu casamento, a britânica Faye Walters, 29 anos, gastou mais de R$ 30 mil para consertar o esmalte de seus dentes, que estavam estragados e pretos. O problema se agravou meses antes do casamento. As informações são do site Daily Mail
Últimas

Veja imagens do primeiro dia de ação de mutirão para vacinação de povos indígenas
O Ministério da Saúde iniciou neste sábado (13) o MVPI (Mês de Vacinação dos Povos Indígenas) de 2024. Segundo a pasta, a previsão é que mais de 130 mil indígenas sejam imunizados com vacinas que fazem parte do Calendário Nacional de Vacinação. Entre elas, estão a BCG, poliomielite oral, HPV e tríplice viral (veja lista completa abaixo). A primeira ação aconteceu na Aldeia Kuahi, na Terra Indígena Uaçá, próxima a Oiapoque, no Amapá, e contou com a presença da ministra Nísia Trindade.

Mais qualidade de vida em 2024? Confira sete dicas para começar o ano com saúde e bem-estar
Rotina saudável inclui boa noite de sono, ingestão de nutrientes essenciais para o corpo humano e eliminação de hábitos nocivos

'Pônei-terapeuta' ajuda pacientes em cuidado paliativo na Rússia
Dietrich, de 23 anos, têm visitado hospitais de Moscou há mais de um ano; contato com animais ajuda a aliviar estresse e solidão

É possível manter a dieta no Natal? Especialistas dão dicas para aproveitar a refeição sem prejuízos
Restrição alimentar pode causar sentimento de culpa e baixa adesão ao regime

Sumiço de Marcelinho Carioca e medida que ameaça preço das geladeiras marcam a semana
Relembre os principais acontecimentos no Brasil e no mundo, na semana entre os dias 17 e 23 de dezembro de 2023

Em 2023, tratamento de Alzheimer avançou com alerta sobre bebidas alcoólicas e exercícios físicos
Relembre descobertas e cuidados que prometem ajudar no tratamento e na prevenção dessa e de outras demências

Em 2023, luta contra o câncer ganhou ajuda de remédio popular, injeção e terapia inovadora
Relembre descobertas e cuidados que foram notícia neste ano e prometem ajudar no tratamento e na prevenção da doença

Preta Gil, Bruce Willis e Kayky Brito são famosos que enfrentaram em 2023 graves problemas de saúde
Casos com celebridades jogam luz sobre quadros raros e comuns e servem de alerta para exames de rotina e cuidados com o corpo

Transplante do Faustão, adoçantes perigosos e fim da pandemia: veja o que foi assunto em saúde em 2023
Caso de tripulantes do submarino Titan e reação alérgica de jovem que cheirou pimenta também repercutiram; relembre histórias

Ondas de calor demandam cuidados; veja como se manter saudável com a amplitude térmica
Variação de temperatura pode causar efeitos adversos no organismo, inclusive choques térmicos em mudanças bruscas de ambientes

Unha encravada: veja como evitá-la e conheça sete dicas para aliviar a dor
Problema comum pode provocar pus e evoluir para infecções se não for tratado adequadamente

Manutenção da desoneração, alta da inflação e aprovação de Dino para o STF marcam a semana
Relembre os principais acontecimentos no Brasil e no mundo, na semana entre os dias 10 e 16 de dezembro de 2023

Não vive sem o celular? Conheça os efeitos do aparelho na saúde
Especialistas explicam como o uso do celular interfere na mente, nas articulações, na visão e no sono; aparelho também é foco de bactérias

Crescimento inesperado do PIB e afundamento do solo em Maceió marcam a semana
Relembre os principais acontecimentos no Brasil e no mundo, na semana entre os dias 3 e 9 de dezembro de 2023

Problema de estômago? Veja alimentos que podem fazer mal e você não sabia
Determinados ingredientes podem irritar a superfície do estômago, causando ou piorando problemas já existentes




