Dor forte no joelho de mulher revela ‘fios de ouro’ nas articulações; entenda
Prática é utilizada no tratamento de osteoartrite e artrite reumatoide em países asiáticos
Internacional|Do R7
LEIA AQUI O RESUMO DA NOTÍCIA
Produzido pela Ri7a - a Inteligência Artificial do R7

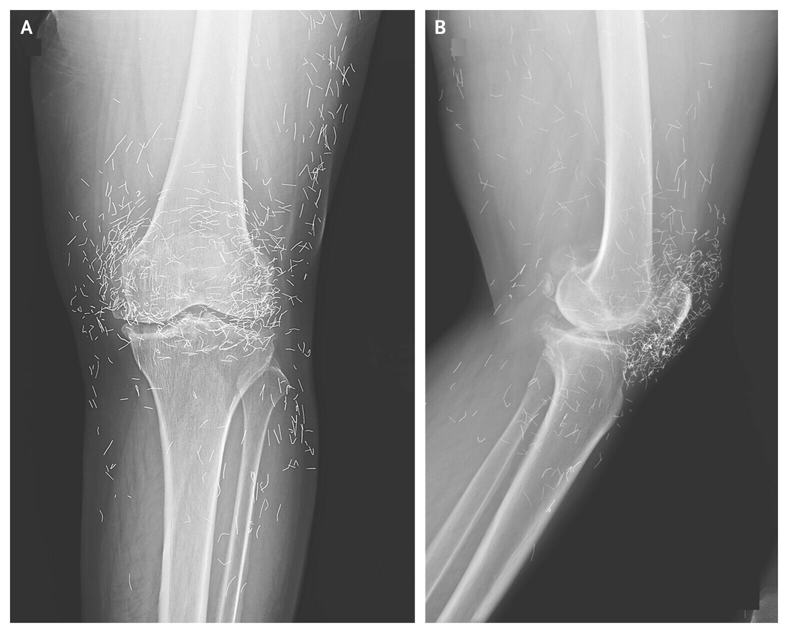
Uma mulher que sofria de osteoartrite no joelho descobriu a presença de fios de ouro nas articulações após procurar atendimento médico por fortes dores. O caso, relatado em um estudo clínico publicado em 2013, chamou a atenção dos especialistas porque expõe os riscos da chamada acupuntura com fios de ouro, uma prática comum em alguns países da Ásia para tratar doenças articulares.
A paciente já havia sido diagnosticada com osteoartrite, condição degenerativa que causa dor e rigidez, e buscou tratamento convencional com analgésicos, anti-inflamatórios e injeções de corticoides. Com o tempo, os medicamentos passaram a causar dores de estômago, o que a levou a interromper o uso. Quando a dor no joelho se intensificou, ela procurou o hospital.
Leia mais
Exames de imagem revelaram alterações no joelho esquerdo. A tíbia, na parte interna da articulação, estava mais espessa e endurecida. Também havia esporões ósseos, que são crescimentos de osso, próximos à região do fêmur e da tíbia. Além disso, os médicos observaram centenas de pequenas manchas ao redor da articulação. Posteriormente, descobriram que eram fios de ouro inseridos em sessões de acupuntura.
Os fios, curtos e estéreis, são deixados propositalmente no tecido para fornecer estímulo contínuo. O relatório médico não esclareceu se eles foram retirados, mas em casos semelhantes já foram deixados no local. Essa opção, no entanto, não é livre de riscos, já que pode causar a formação de cistos.
A prática é utilizada no tratamento de osteoartrite e artrite reumatoide em países asiáticos, mas não há evidências científicas de que funcione. Segundo os autores do relatório, além da falta de comprovação, a técnica pode atrasar o diagnóstico e impedir que pacientes recebam tratamento adequado.
Um exemplo citado no estudo foi o de uma sul-coreana de 58 anos que recebeu fios de ouro para aliviar dores de artrite reumatoide nos pulsos. A doença progrediu rapidamente porque ela não iniciou o uso de medicamentos antirreumatoides no início, como seria indicado.
Outro risco está na migração dos fios pelo corpo. Uma sul-coreana de 75 anos que havia recebido fios de ouro nas costas desenvolveu uma infecção na perna anos depois, quando fragmentos do metal se deslocaram até a região inferior do membro.
O caso do joelho também mostrou que os fios dificultam a interpretação de exames de imagem. Radiografias podem ser prejudicadas, e exames de ressonância magnética ficam contraindicados, já que o movimento do metal pode perfurar tecidos e até danificar artérias.
Perguntas e Respostas
Qual foi o problema de saúde que a mulher enfrentou?
Uma mulher sofreu de osteoartrite no joelho e, após procurar atendimento médico devido a fortes dores, descobriu a presença de fios de ouro nas articulações.
O que é a prática de acupuntura com fios de ouro?
A acupuntura com fios de ouro é uma prática comum em alguns países asiáticos, utilizada para tratar doenças articulares, mas não há evidências científicas que comprovem sua eficácia.
Quais foram os tratamentos que a paciente tentou antes de descobrir os fios de ouro?
A paciente havia sido diagnosticada com osteoartrite e buscou tratamento convencional com analgésicos, anti-inflamatórios e injeções de corticoides, mas interrompeu o uso devido a dores de estômago causadas pelos medicamentos.
O que os exames de imagem revelaram sobre a condição da paciente?
Os exames mostraram alterações no joelho esquerdo, como espessamento e endurecimento da tíbia, esporos ósseos próximos ao fêmur e à tíbia, e centenas de pequenas manchas que eram fios de ouro inseridos durante as sessões de acupuntura.
Quais são os riscos associados à permanência dos fios de ouro no corpo?
A permanência dos fios de ouro pode causar a formação de cistos e dificultar a interpretação de exames de imagem, como radiografias e ressonâncias magnéticas, além de potencialmente danificar artérias.
Que exemplos de complicações foram citados no estudo?
Um exemplo é o de uma sul-coreana de 58 anos que não iniciou o uso de medicamentos antirreumatoides a tempo, o que fez a doença progredir rapidamente. Outro caso é de uma sul-coreana de 75 anos que desenvolveu uma infecção na perna anos depois, quando fragmentos do metal se deslocaram.
Qual é a conclusão dos autores do relatório sobre a acupuntura com fios de ouro?
Os autores alertam que, além da falta de comprovação científica da eficácia da técnica, ela pode atrasar diagnósticos e impedir que pacientes recebam tratamentos adequados.
Fique por dentro das principais notícias do dia no Brasil e no mundo. Siga o canal do R7, o portal de notícias da Record, no WhatsApp














