Parasita capaz de alterar comportamento humano já infectou bilhões no mundo
Estudos sugerem que Toxoplasma gondii pode influenciar emoções, decisões e risco de distúrbios psiquiátricos
Internacional|Do R7

Um parasita microscópico, presente em cerca de um terço da população mundial, pode estar influenciando silenciosamente o comportamento humano. Trata-se do Toxoplasma gondii, protozoário que, segundo estimativas da Organização Mundial da Saúde (OMS), já infectou cerca de dois bilhões de pessoas.
Embora tradicionalmente considerado inofensivo para adultos saudáveis, novas pesquisas vêm revelando potenciais efeitos no cérebro e no comportamento.
Leia mais
O ciclo de vida do Toxoplasma gondii tem como hospedeiro definitivo o gato, onde o parasita se reproduz. Para completar esse ciclo, ele precisa passar por outros hospedeiros intermediários, como roedores ou humanos. Em ratos, a infecção leva à perda do medo de gatos, tornando-os mais vulneráveis à predação e facilitando o retorno do parasita ao felino. Esse fenômeno intrigou cientistas quanto ao possível impacto do protozoário em seres humanos.
As primeiras suspeitas de alterações comportamentais em humanos surgiram nos anos 2000. Pesquisadores como Jaroslav Flegr, da Universidade Carolina de Praga, observaram que pessoas infectadas apresentavam mudanças sutis de personalidade. Homens mostravam-se mais irritáveis e propensos a assumir riscos, enquanto mulheres exibiam maior calor emocional e respeito a normas sociais. Esses resultados geraram debates na comunidade científica.
Outros estudos reforçaram as hipóteses. Uma pesquisa publicada no periódico Schizophrenia Bulletin, em 2012, encontrou ligação entre toxoplasmose latente e aumento do risco de distúrbios psicóticos, incluindo a esquizofrenia.
Em 2016, uma meta-análise na revista Acta Psychiatrica Scandinavica confirmou a correlação entre infecção crônica e diversos transtornos neuropsiquiátricos. Apesar das evidências, os cientistas alertam que correlação não implica causalidade.
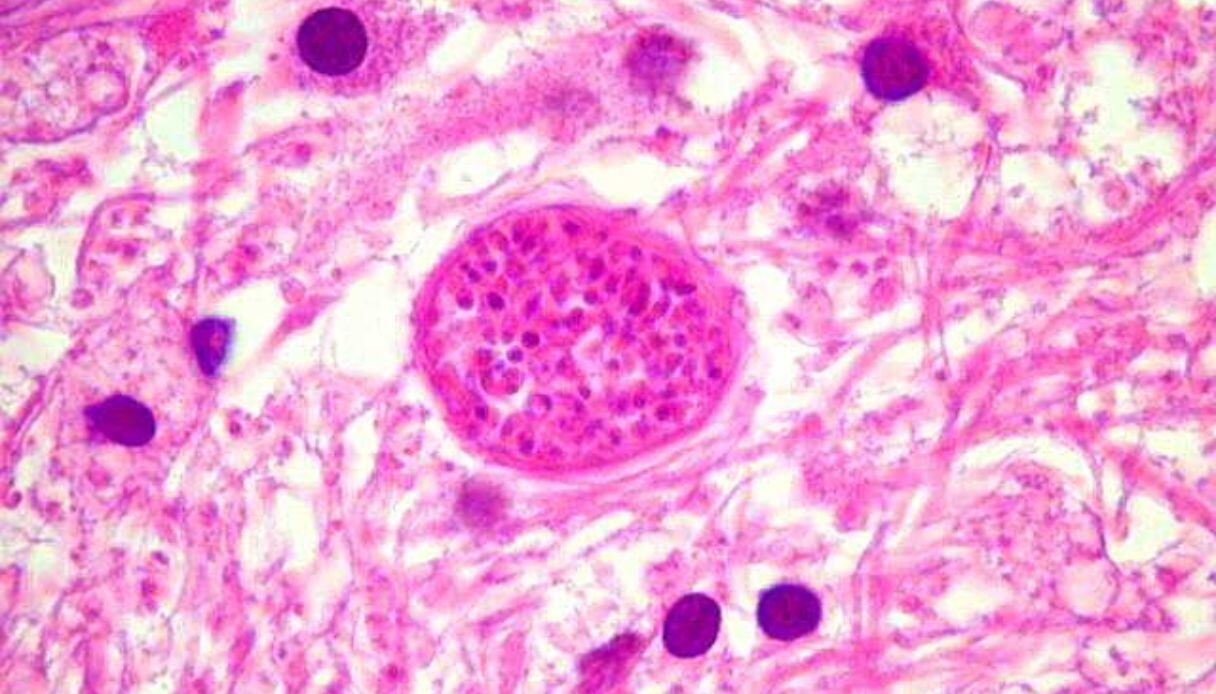
O mecanismo de ação do Toxoplasma gondii no cérebro é alvo de intenso estudo. O protozoário é capaz de ultrapassar a barreira hematoencefálica e formar cistos em regiões cerebrais ligadas à emoção, ao medo e à tomada de decisões, como a amígdala. Ele também parece interferir nos níveis de dopamina, neurotransmissor associado ao prazer e à motivação. Estudos indicam que o parasita possui genes que produzem enzimas envolvidas na síntese de dopamina, o que poderia explicar algumas das alterações comportamentais observadas.
A maior parte das pessoas infectadas desenvolve a chamada toxoplasmose latente, sem sintomas visíveis. No entanto, o quadro pode se agravar em pessoas imunodeprimidas e gestantes, já que o protozoário pode atravessar a placenta e causar sérios danos ao feto. A transmissão ocorre principalmente pelo contato com fezes de gatos contaminadas, ingestão de carne crua ou malcozida e alimentos não higienizados. Casos raros também podem acontecer por transfusões de sangue ou transplantes.
Exames laboratoriais são capazes de detectar a exposição ao Toxoplasma gondii. Especialistas alertam para a necessidade de prevenção, sobretudo para gestantes e indivíduos com sistema imunológico comprometido. Medidas simples, como cozinhar bem os alimentos e evitar contato com areia de gatos, são recomendadas.
Enquanto as pesquisas avançam, a relação entre o parasita e possíveis mudanças comportamentais em humanos segue despertando fascínio e preocupação. Novas terapias e métodos de diagnóstico estão em desenvolvimento, mas o entendimento dos efeitos do Toxoplasma gondii sobre a mente humana ainda está longe de ser definitivo.
O debate científico permanece aberto, principalmente quanto ao impacto real do protozoário na saúde mental e no livre-arbítrio. A possibilidade de um micro-organismo influenciar decisões, emoções e até doenças psiquiátricas levanta questionamentos fundamentais sobre o controle que temos sobre nossas próprias ações.
Fique por dentro das principais notícias do dia no Brasil e no mundo. Siga o canal do R7, o portal de notícias da Record, no WhatsApp














