Mulher tem prego alojado na garganta após comer carne moída
Ric|Do R7

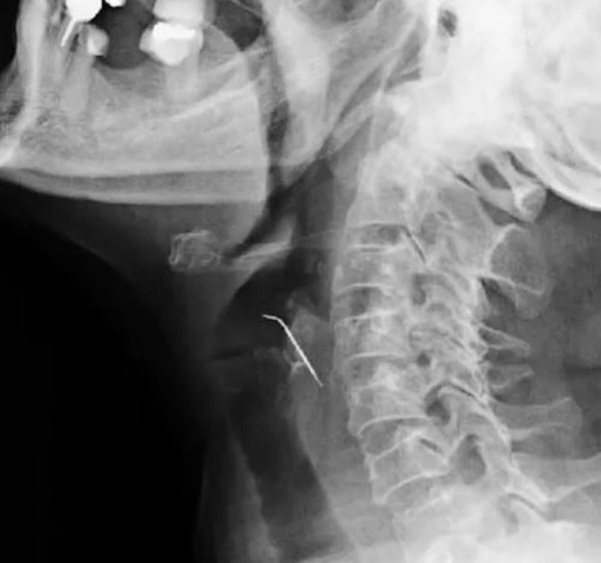
Uma mulher de 68 anos procurou um hospital ao sentir fortes dores na garganta, após exames, os médicos descobriram um prego perfurando a artéria carótida. O caso foi registrado em fevereiro no Peru.
Leia a matéria completa no nosso parceiro RIC.com.br
Leia mais em RIC.com.br
• Morre Moacir Piovesan, ex-deputado federal e ex-prefeito de São José dos Pinhais
• Cascavel ultrapassa 10 mil casos e registra 4 mortes por dengue
• Mulher come carne moída e quase morre após ficar com prego preso na garganta














