Médicos italianos retiram tumor de 30 kg de paciente
Mulher idosa sofria de lipossarcoma gigante de retroperitônio
Saúde|Ansa

Uma operação extraordinária foi realizada pelos médicos do Instituto Nacional de Tumores Regina Elena, que fica em Roma: os especialistas retiraram um tumor de 30 kg do corpo de uma mulher, de cidadania europeia.
Segundo a equipe médica, a idosa de 65 anos passou por uma cirurgia de sete horas na Itália porque nenhum centro cirúrgico de seu país-natal, que não foi revelado, quis fazer a operação. Ela recebeu alta neste fim de semana após ficar internada por duas semanas para recuperação.
Britânico desfigurado por tumor relata cotidiano de olhares e agressões
Pais sofrem ao lado de bebê com dias contados para morrer por tumor incurável no cérebro
A mulher é mãe de três filhos e apresentava ser muito saudável até abril deste ano, quando seguidos episódios de vômito e de aumento do volume do abdome começaram a se repetir e elevaram seu peso para 90 kg.
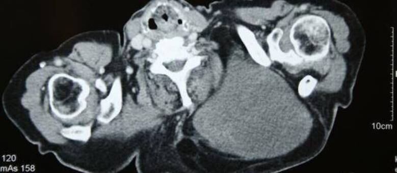
Os exames realizados em sua cidade revelaram a presença de um tumor do tipo lipossarcoma, que nasce nas células de gorduras mais profundas. No caso dessa paciente, informou o instituto, se tratava de um lipossarcoma gigante de retroperitônio, que estava localizado entre o peritônio parietal e os músculos que ficam na parede abdominal posterior.
Considerando as dimensões enormes dessa lesão, nenhum hospital contatado pela mulher aceitou fazer a cirurgia.
Queda de bicicleta faz homem descobrir tumor adormecido: “Salvou minha vida!”
Como ela tem parentes na Itália, o hospital informou que "ela chegou à nossa observação no final do Verão e, após os acertamentos, foi operada pela equipe liderada pelo professor Alfredo Garofalo com a ajuda dos médicos Mario Valle, Fabio Carboni, Orietta Federici e os anestesistas Alessandra Constantino e Luana Fabrizi".
"Eu agradeço toda a equipe e o pessoal envolvido. Com isso, confirma-se nossa certificação europeia recentemente conquistada. Além disso, mostra que nosso centro oncológico pode fazer cirurgias de todos os tipos de tumores e, sobretudo, daqueles mais complexos. Foi um belo batismo para nossas novas salas de cirurgia integradas", afirmou a comissária especial dos Institutos Fisioterápicos Hospitalares da Itália, Marta Branca.
Confira o R7 Play e assista a toda a programação da Record na íntegra!
Por muito pouco, o garoto Jose Serrano, de 11 anos, não perdeu a batalha contra um tumor gigante que tomava conta de seu pescoço, tórax e, principalmente, sua traqueia. A salvação veio com uma cirurgia de 16 horas, que tirou a pressão que o linfangioma...
Por muito pouco, o garoto Jose Serrano, de 11 anos, não perdeu a batalha contra um tumor gigante que tomava conta de seu pescoço, tórax e, principalmente, sua traqueia. A salvação veio com uma cirurgia de 16 horas, que tirou a pressão que o linfangioma exercia sobre seu coração e pulmões, e devolveu a ele a qualidade de vida que Jose desconhecia desde que o tumor ganhou proporções descontroladas





















